Like a lot of people, after a particularly long day at work, David Niddam likes to have a beer and relax. Unlike most people, he can explain how the alcohol in that beer moves from his bloodstream to his spinal cord, cerebellum and cerebral cortex, where it increases dopamine and norepinephrine levels, decreases the transmission within his acetylcholine systems, bumps up the production of beta-endorphin in his hypothalamus and puts a smile on his face.
Niddam works in the Integrated Brain Research Unit (IBRU) of Taipei Veterans General Hospital, a facility under the administration of both the hospital and National Yangming University. Earlier this week he gave the Taipei Times a tour of the facilities, where current research topics include epilepsy, cognitive linguistics, mood disorders and the genetic mapping of spino-cerebellar ataxia, a type of neuro-muscular degeneration specific to Taiwanese.
For his part, Niddam researches pain. He has been with the IBRU since 2002, coming to Taiwan after completing his doctoral studies at Aalborg University in his native Denmark. He chose to work at the IBRU, he said, because the facility is among the best in the world in terms of the quantity and quality of hardware available to researchers, making his research a little less painful.
PHOTO: DAVID MOMPHARD, TAIPEI TIMES
"In brain research the gold standard is to know which local brain networks are involved in a specific task and how they are connected through global networks," he said.
Equally important are knowing the order in which those networks are activated, being able to follow the information that flows through them, and understanding the biochemistry involved in the process.
"Ideally, we would like to have all that information from the same subjects or patients," Niddam said, instead of piecing together bits of information from hospitals and research centers across the globe.
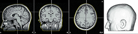
PHOTO COURTESY OF DAVID NIDDAM
To make that possible, National Yangming University and Taipei Veterans Hospital have established the Research Center for Neuroimaging and Neuroinformatics to bring into one facility all the instruments required in neurological research.
"This is a new trend worldwide and it's called multimodal brain imaging," Niddam said, adding that the researchers at National Yangming University and the Veterans Hospital were the only ones in the past year to receive money from the National Health and Research Institute of Taiwan to establish a center.
"So it means this area has been acknowledged as a key research area for Taiwan," he said.
Among the hardware available to Niddam and his fellow researchers are six magnetic imaging resonance (MRI) machines as well as electroencephalography (EEG) and magnetoencephalography (MEG) machines.
EEGs and MEGs record from outside the brain. The EEG does so when the patient puts on a rather unfashionable Lycra cap with dozens of electrodes attached to it. The MEG has the patient sit in a room that has been shielded from the earth's magnetic forces and place their head in an inverted bowl.
The benefit of both the EEG and MEG is an ability to follow brain activity in real time, down to the millisecond. However, the machines cannot pinpoint where in the brain the activity is taking place to an area smaller than 100,000 or more brain cells.
With the MRI technology that looks deep into the brain, activity can be located to areas smaller than a millimeter, but cannot provide the temporal accuracy of an EEG or MEG. MRI works by tilting the spin of every atom in the body in the same direction, then sending pulses of radio waves into the scanner which knock the nucleus of each cell out of its proper alignment. When it realigns, it sends a signal which the scanner records, analyzes and drafts into an image.
Another form of MRI measurement, called a functional MRI, can measure brain activity by detecting oxygen levels in specific brain areas.
Niddam's colleague, Yeh Tzu-chen (葉子城), showed the MRI scan of a patient with a brain tumor. The functional MRI, he explained, is used not only to pinpoint the location of the tumor, but to discern what functions the areas of the brain beside the tumor control.
Because of the tumor's location on the left side of the patient's brain, there was a risk that surgery could leave the patient without the use of the right hand.
"During the MRI, I stood next to the patient and tapped on their foot," said Yeh, who is also an assistant professor in the Department of Radiology at National Yangming University Medical School. "They knew that when I did they should move their right hand. The MRI recorded exactly which part of the brain next to the tumor was responsible for moving the hand, creating an indispensable map for surgeons to use in removing the tumor."
"Remember those guys who invented [MRI] got the Nobel for it?" Niddam said, referring to American Paul C. Lauterbur and Briton Sir Peter Mansfield's 2003 prize. "Without it, diagnosis worldwide would be much less efficient."
Oct. 27 to Nov. 2 Over a breakfast of soymilk and fried dough costing less than NT$400, seven officials and engineers agreed on a NT$400 million plan — unaware that it would mark the beginning of Taiwan’s semiconductor empire. It was a cold February morning in 1974. Gathered at the unassuming shop were Economics minister Sun Yun-hsuan (孫運璿), director-general of Transportation and Communications Kao Yu-shu (高玉樹), Industrial Technology Research Institute (ITRI) president Wang Chao-chen (王兆振), Telecommunications Laboratories director Kang Pao-huang (康寶煌), Executive Yuan secretary-general Fei Hua (費驊), director-general of Telecommunications Fang Hsien-chi (方賢齊) and Radio Corporation of America (RCA) Laboratories director Pan
The consensus on the Chinese Nationalist Party (KMT) chair race is that Cheng Li-wun (鄭麗文) ran a populist, ideological back-to-basics campaign and soundly defeated former Taipei mayor Hau Lung-bin (郝龍斌), the candidate backed by the big institutional players. Cheng tapped into a wave of popular enthusiasm within the KMT, while the institutional players’ get-out-the-vote abilities fell flat, suggesting their power has weakened significantly. Yet, a closer look at the race paints a more complicated picture, raising questions about some analysts’ conclusions, including my own. TURNOUT Here is a surprising statistic: Turnout was 130,678, or 39.46 percent of the 331,145 eligible party
The classic warmth of a good old-fashioned izakaya beckons you in, all cozy nooks and dark wood finishes, as tables order a third round and waiters sling tapas-sized bites and assorted — sometimes unidentifiable — skewered meats. But there’s a romantic hush about this Ximending (西門町) hotspot, with cocktails savored, plating elegant and never rushed and daters and diners lit by candlelight and chandelier. Each chair is mismatched and the assorted tables appear to be the fanciest picks from a nearby flea market. A naked sewing mannequin stands in a dimly lit corner, adorned with antique mirrors and draped foliage
The election of Cheng Li-wun (鄭麗文) as chair of the Chinese Nationalist Party (KMT) marked a triumphant return of pride in the “Chinese” in the party name. Cheng wants Taiwanese to be proud to call themselves Chinese again. The unambiguous winner was a return to the KMT ideology that formed in the early 2000s under then chairman Lien Chan (連戰) and president Ma Ying-jeou (馬英九) put into practice as far as he could, until ultimately thwarted by hundreds of thousands of protestors thronging the streets in what became known as the Sunflower movement in 2014. Cheng is an unambiguous Chinese ethnonationalist,