An avid cyclist was out riding with a friend when, trying to evade a small animal that suddenly appeared out of nowhere, he was thrown from his bike. He sustained a broken leg and broken ribs, and air became trapped in his pleural cavity (the space between the chest wall and the lung). He was sent to the emergency room at the Hsinchu branch of National Taiwan University Hospital. One month later the man returned for a follow-up treatment, and told the doctors how happy he was to be able to be riding again.
According to Tu Hsiung, a doctor at the Hsinchu branch, broken ribs due to external trauma to the chest are seen frequently in the trauma clinic at the emergency room. They are often seen in senior citizens who have fallen over, people involved in bicycle accidents or those who have fallen from a height in the workplace.
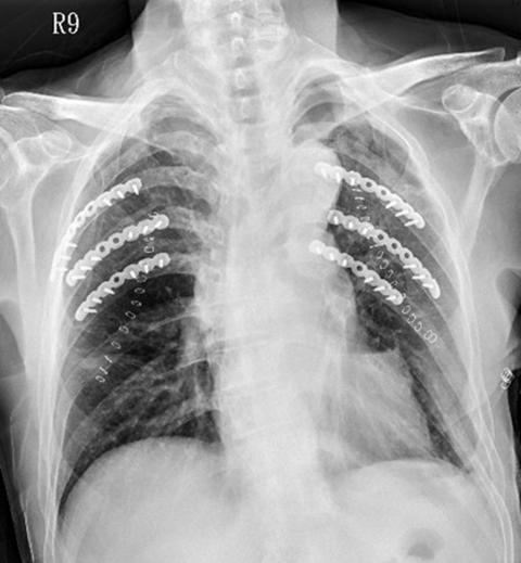
In humans, the thorax is formed of the collarbone, 12 pairs of ribs to the left and right, and the breastbone and thoracic vertebrae. The ribs form a cage surrounding the chest, protecting important organs including the heart and lungs, as well as the liver to the lower right of the diaphragm and the spleen to the lower left. The ability to breathe depends upon the movement of the ribs, through the contraction of the diaphragm and the respiratory muscles.
Photo: Tsai Chang-sheng, Liberty Times
記者蔡彰盛翻攝
When somebody has an accident, the first clear symptom of the patient having sustained broken ribs is localized pain. In serious cases, broken ribs can be life threatening, for example when it leads to tension pneumothorax or a hemothorax (air or blood trapped in the pleural cavity, respectively) and difficulty breathing. Acute, life-threatening complications can arise when pain makes it difficult to breathe or cough up phlegm, leading to pneumonia and eventually septic shock (blood poisoning).
The treatment for broken ribs begins with stopping the pain, to ensure that the patient feels comfortable. Efficient respiration is important if pneumonia is to be prevented. If the pain is not stopped, the patient will not want to breathe deeply, and the breathing will gradually become shallower, reducing the amount they will be able to cough. Eventually, this could lead to the development of pneumonia.
With improvements in medical treatments and increasing focus on patients’ quality of life, doctors have developed the surgical stabilization of rib fractures. The main objectives of this technique are to reduce the amount of pain the patient with broken ribs is in, to prevent the emergence of complications and to reduce the chance of mortality and the length of stay in hospital. This will help the patient to recover more quickly and to be able to return to work.
According to clinical statistics, the surgical stabilization of rib fractures procedure can significantly lower the chances of the patient developing pneumonia, reduce the treatment period and length of hospital stay by half and even cut the mortality rate by 30 percent.
(Translated by Paul Cooper)
熱愛自行車運動的一位男子某次休假與車友快樂騎乘時,為了閃躲突然衝出的小動物,不慎摔車飛了出去,腿部與肋骨骨折、胸部張力性氣胸,轉送台大醫院新竹分院急診。術後一個月回診,患者開心地跟醫師分享重拾自行車的騎乘樂趣。
台大醫院新竹分院急診部醫師杜雄表示,胸部外傷致肋骨骨折是外傷急診常見的疾病。常見於高齡長者在日常生活中跌倒、車禍或是工地高處跌落的傷者。
人體胸廓由鎖骨、左右兩邊十二對肋骨、胸骨與胸椎所組成。肋骨在胸部組成一個環狀,保護著重要器官包含心臟、肺和橫隔膜下右側的肝及左側的脾臟。身體靠著橫隔膜和呼吸肌收縮牽動肋骨,才能呼吸。
當發生意外,肋骨骨折的第一個明顯症狀就是肋骨折斷處疼痛。嚴重的肋骨骨折可能會立即危及生命,例如導致張力性氣胸、大量出血的血胸、因無法有效呼吸;慢性致死原因則有因為疼痛不敢或無法有效呼吸、咳痰,以致引發肺炎敗血症,或因連枷胸導致呼吸衰竭等。
肋骨骨折治療首重止痛,讓病人感覺舒適,有效呼吸才能預防肺炎。如果止痛沒有做好,病人會因為疼痛而不敢深呼吸,呼吸深度就會慢慢變淺,伴隨咳嗽力度減低,最終變成肺炎。
隨著醫療的進步與生活品質的要求提升,肋骨骨折固定接合手術應運而生。肋骨骨折固定接合手術的最大目的,就是要減低肋骨骨折病人的疼痛,避免併發症發生、減低死亡率、縮短住院日數,以利早日恢復正常生活和回到工作崗位。
臨床統計,有做肋骨骨折固定接合手術的病人,可以大幅減少肺炎發生率達九成,縮短一半加護病房照顧和住院日數,甚至可以減少三成的死亡率。
(自由時報記者蔡彰盛)
Many consumers are guilty of filling drawers or closets with old laptops, cellphones, fitness trackers and other electronic devices once they are no longer needed. It’s hard to know where to recycle such items, or it seems costly and inconvenient to do so. The world generates millions of tons of electronic waste — also called e-waste — each year. According to the UN’s most recent estimate, people worldwide produced 62 million metric tons of e-waste in 2022, and only about 22 percent of it was properly recycled. The US’ Environmental Protection Agency estimates that less than a quarter of e-waste is
You’re sitting in class when a classmate asks to borrow a pencil. It seems like a small favor, so you agree without hesitation. The following week, the same classmate asks to share your notes. Later, they request help with a group project. You agree each time — after all, you helped out the first time — but before you know it, it has become automatic. This scenario demonstrates the “foot-in-the-door technique,” a psychological concept that shows how agreeing to small, acceptable demands makes it easier to accept larger ones later on. The name for this strategy comes from door-to-door
A: The four-day Tomb Sweeping Day long weekend begins Friday and will run until Monday. Are you going to sweep your ancestors’ tombs? B: I did in advance last weekend, so I can go to Kaohsiung to see the musical “The Phantom of the Opera.” A: Wow, is “Phantom” touring Taiwan again? It debuted in 1986, so this year marks the 40th anniversary of the show. B: And it’s not just touring Kaohsiung starting March 31, but also Taipei starting April 21 and Taichung starting May 26. A: “Phantom” is one of the world’s Four Major Musicals. I’ve seen all of them, except “Les
Dos & Don’ts — 想想看,這句話英語該怎麼說? 1. 我們很早到達電影院。 ˇ We arrived at the theater very early. χ We arrived the theater very early. 註︰arrive 為不及物動詞,後面如果有受詞要用 at 或 in。例如:They arrived in Taipei yesterday.。一般大地方,如國家、省、大城市等前面用 in,凡小地方城鎮、學校等則用 at。 2. 開車半小時以後,我們到達了海灘。 ˇ After half an hour’s drive, we got to the beach. χ After half an hour’s drive, we got the beach. 註︰come, go, get(來、去、到達)某地時,在表示地點的名詞前面應該用 to,如 go to school, go to Taipei, come to Shanghai 等。如果這些動詞後面所跟的是 here, there, home 等副詞,則不用 to。 3. 明天我會回辦公室。 ˇ I will be back in the office tomorrow. χ I will be back to office tomorrow. 註︰to be back 一語裡的 back 是副詞,不是介詞,所以後面要用 at (the market) 或 in (the office)。 假如假期結束,要回學校上課了則可說: ? Kids will be back