A woman in Greater Tainan surnamed Lai had a primary astrocytoma, a type of cancer of the brain, which paralyzed one side of her face and made her mouth crooked. After going to China Medical University Beigang Hospital in Yunlin County for treatment she has gradually recovered. Lai’s family firmly believes that it was Matsu, the goddess of the sea, who saved and protected her. They prepared a golden plaque last week to be placed in the hospital to show their appreciation.
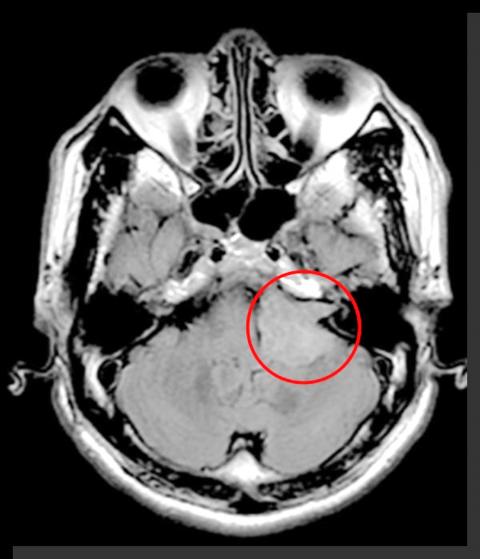
Chuang Hau-yu, head of neurosurgery at the hospital, says that Lai was completely comatose when she arrived at the hospital. A nuclear magnetic resonance (NMR) scan determined that the coma was caused by a brain tumor more than 5cm in diameter located in her left thalamus, which was putting pressure on her brainstem. The hospital immediately arranged for surgery, which was successful.
Lai remained in a coma well after the surgery, which was quite perplexing for her loving and caring mother, who decided to ask Matsu if she should transfer her daughter to another hospital. After throwing divination blocks (jiao), Lai’s mother never got a “yes” block, so she asked the goddess if she should keep her daughter at the same hospital, and ended up getting a shengjiao, or divine answer position, three times in a row, so she decided to keep her daughter at the hospital for treatment.
Photo: Tsai Shu-yuan, Liberty Times
照片:自由時報記者蔡淑媛
Lai came out of the coma four months after surgery (at the end of September last year), and after more than a year of combined Chinese and Western medical treatment, her overall condition improved. She went from being completely paralyzed to being able to sit in a wheelchair.
Lai’s mother is grateful to the medical team from the hospital’s department of neurosurgery and to Matsu for giving her the faith to stay, so she made a golden plaque to express her gratitude to Matsu for providing her a clear path to follow and allowing her daughter a new lease on life.
Ho Tsung-jung, head of Chinese medicine at the hospital, says that there are specific acupuncture techniques in Chinese medicine for waking people up after major brain surgeries, which help the brain rejuvenate and rehabilitate. If a person has weak qi (the invisible life force or energy that according to traditional Chinese medicine resides in every living thing), it can be supplemented, Ho says, adding that if a wound is inflamed Chinese medicine can be used together with Western medicine. This unique method of combined Chinese-Western medical treatment has allowed many people who have undergone major surgery to recover more quickly, serving as positive medical examples, Ho says.
Photo: Liao Shu-ling, Liberty Times
照片:自由時報記者廖淑玲
(Liberty Times, Translated by Kyle Jeffcoat)
台南市賴小姐罹患原發性腦部星狀細胞瘤,造成單側臉部麻、嘴歪斜就醫,前往雲林縣北港媽祖醫院成功開刀治療,已逐漸復原,賴小姐家屬深信是媽祖保佑,上週準備金牌向院內的媽祖致謝。
北港媽祖醫院神經外科主任莊皓宇說,賴小姐到院時已全身昏迷,透過核磁共振檢查,確認腦瘤位置在左側視丘,大小超過五公分,壓迫到腦幹所造成,院方立即安排進行手術,手術相當成功。
手術後,賴小姐卻遲遲未清醒,愛女心切的賴媽媽相當困惑,向媽祖請示,女兒是否該轉院治療?未獲允杯,後來賴媽媽問說是否繼續留在醫院治療?媽祖連續給三個聖筊,因此決定留在媽祖醫院接受治療。
手術後第四個月(去年九月底),賴小姐清醒,又經過一年多中西醫合療,狀況不錯,從全身癱瘓恢復到已能乘坐輪椅。
賴媽媽感謝媽祖醫院腦神經外科醫療團隊,更感念給她信心留下來的媽祖婆,打了一片金牌答謝媽祖指引她一條明路,讓女兒有重生機會。
北港媽祖醫院中醫部長何宗融表示,腦部重大手術的病人,中醫的針灸處理上有專門的醒腦方式,可刺激腦的再生與復原,若氣虛可進行補氣,傷口發炎也可採用中醫藥來進行合併處理,這項獨特中西醫合療模式,讓許多重大手術後的病人恢復情況良好,可做為正面病例。
(自由時報記者林國賢)
★ Bilingual Story is a fictionalized account. 雙語故事部分內容純屬虛構。 Lucas was already on the ground before he fully understood what was happening. “Hurry! Kneel down!” someone shouted. The asphalt was warm against his knees. Around him, dozens of people lay flat in the narrow street outside Jenn Lann Temple in Dajia. Some pressed their hands together in prayer. Others closed their eyes. Lucas had only come to look at the temple. An hour earlier he had stepped into the noisy courtyard out of curiosity. Inside the main hall, people held incense sticks, bowed three times,
You might think knitting is only for grandmas, but surprisingly, many young people are embracing so-called “grandma hobbies.” On social media platforms, activities such as home cooking, embroidery and gardening are becoming popular among teenagers and young adults who are drawn to their relaxing and creative nature. “Grandma hobbies” typically refer to activities that are slow-paced, handmade and nostalgic. Common examples include knitting scarves, baking cookies, sewing clothes and growing plants. These hobbies were once part of everyday life for many women in previous generations, but today they provide an escape from the fast-paced digital world. The appeal
A: Isn’t the 2026 Coachella Valley Music and Arts Festival — a massive music event held every April — about to open in California? B: Yeah the festival is set to take place over two weekends, from April 10 to 12 and 17 to 19, US time. A: I heard this year’s main stage headliners include Sabrina Carpenter, Justin Bieber, Karol G and EDM DJ Anyma. B: The K-pop army is also making an appearance, with legendary group BigBang, SHINee member Taemin and girl group Katseye debuting for the first time. A: Isn’t Coachella also live-streamed on its YouTube
Visitors walking down the streets of London and other major English cities might notice a curious sight. Many of the old __1__ have some of their windows boarded up. What’s even stranger is that there doesn’t appear to be any consistent pattern as to which windows get covered. This architectural __2__ dates back over 300 years during a time when “coin clipping” was a common crime in England. Back then, silver coins had simple designs with __3__, unmarked edges. Without any pattern extending to the coins’ rims, it was difficult to tell if the edges had been __4__. This